- Home
- Products
- Surgical Guides
- GuidedTEMP™
GuidedTEMP™
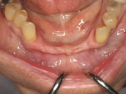
At ROE, our GuidedTEMP system represents a breakthrough solution for delivering immediate implant provisionals that eliminates the unpredictability and complexity of traditional methods.
Unlike challenging alternatives such as floating pre-manufactured teeth into position or dealing with software-designed prosthetics that rarely achieve perfect contacts, GuidedTEMP provides a simple and predictable approach to same-day loading.
Our comprehensive system includes a fully guided surgical guide, immediate provisional template with precisely positioned hole, temporary abutment, and all necessary components to ensure seamless integration with your guided surgery workflow.
GuidedTEMPTM Simplicity:
The beauty of GuidedTEMP lies in its simplicity—once your implant is placed through the guide in the planned position, you simply seat the guided temp passively over the temporary cylinder and backfill with tooth-colored material, creating an immediate restoration that requires minimal adjustment and delivers exceptional aesthetic results.
This innovative approach transforms what has traditionally been one of the most challenging aspects of implant dentistry into a predictable, efficient procedure that can be easily incorporated into your guided surgery cases, ensuring your patients leave with confidence and comfort on the day of surgery.
Clinical benefits:
- Exceptional Simplicity – Simply seat the template and backfill with tooth-colored material, eliminating complex surgical procedures
- Predictable Results – Unlike traditional methods that rely on perfect implant placement and guesswork, GuidedTEMP delivers consistent, reliable outcomes every time
- Eliminates Contact Adjustments – Avoids the time-consuming chairside adjustments required with pre-designed prosthetics that rarely achieve proper contacts
- Seamless Same-Day Loading – Enables immediate provisional placement during the surgical appointment, providing patients with instant confidence and comfort
- Perfect Integration with Guided Surgery – Works in harmony with your fully guided surgical workflow, ensuring the provisional matches the planned implant position exactly
GuidedTEMP: Frequently Asked Questions
Frequently Asked Questions
Have question? We are here to help
No results found.
The GuidedTEMP system is a comprehensive solution for delivering immediate implant provisionals that follow the surgical guide placement.
The system uses the same digital file as the surgical guide, but instead of holding a sleeve, it holds temporary teeth, bridges, or multiple-unit restorations.
It provides a predictable and simple method for placing temporary restorations immediately following implant placement.
The GuidedTEMP system ensures proper alignment through:
- Pre-planned trajectory: The hole in the temporary is pre-made according to the exact trajectory of the implant
- Abutment alignment: Positioned to match the trajectory of the temporary abutment
- Suspended positioning: Provisionals are suspended in the proper place for accurate pickup and luting
- Guided positioning: Uses the same digital file as the surgical guide for perfect alignment
- Predictable results: Designed to work with guided implant placement
- Simple procedure: Straightforward backfilling technique
- Time efficient: Reduces surgical time and chairside adjustments
- Minimal contact adjustment: Less likely to require extensive modifications during surgery
- Immediate function: Provides immediate provisional restoration
The complete GuidedTEMP package includes:
- Surgical guide (preferably fully guided, where the implant fits through the sleeve)
- Immediate provisional template with temporary restoration and access hole
- Temporary abutment (typically OEM part from implant manufacturer)
- Implant screw
- Plugs for cylinder blockout (typically blue, sometimes clear)
- Blockout gaskets that sleeve over temporary cylinders to prevent material locking
- For most cases, we include and send the recommended parts with the case package
Fully Guided Surgical Guide (Preferred):
- Allows the implant to fit through the sleeve and be guided during placement
- Provides superior accuracy for implant positioning
- Ensures temporary cylinders are in ideal planned positions
- Minimizes adjustments needed for GuidedTEMP
Drill-Only Surgical Guide:
- Only guides the drilling sequence, but not the actual implant placement
- Implants are placed freehand after drilling
- May result in less precise positioning
- Can require more adjustment of the GuidedTEMP due to implant position variations
- There are methods for using GuidedTEMP with this approach, but they are more technical and challenging
You have two completion options:
Chairside Completion:
- Backfill directly in the mouth
- Perform immediate adjustments and equilibration
- Complete the case in a single appointment
- Suitable for simpler cases
Lab Completion:
- Remove the entire GuidedTEMP appliance after initial placement
- Unscrew all sites and take them to the lab
- Add material to fill any voids underneath
- Polish and adjust in a controlled environment
- Return for final placement and equilibration
- Preferred for complex multiple-unit cases or when extensive adjustments are needed
Several options are available for backfilling:
- Flowable composite: Allows for precise shade matching
- Light-cured composite: Tooth-shaded materials for controlled curing
- Stellar DC acrylic: Available in tooth shades, though sometimes slightly brighter than natural teeth
- Other tooth-shaded materials: Various materials are available in multiple tooth shades
Note: Shade options have improved significantly over time, with many more shades now available compared to earlier cases.
Yes, the GuidedTEMP system can accommodate various restoration types, including:
- Single tooth restorations
- Multiple individual teeth
- Bridge restorations
- Multiple-unit bridges with many sites
- Multiple implant cases (e.g., bicuspid and molar extractions with three implants). The template rests on adjacent teeth and slides over the temp cylinders for multiple-unit cases. The provisionals are suspended over the implant sites using tooth-supported guides.
The emergence profile of GuidedTEMP restorations is designed to be narrow, emerging directly from the temporary abutment.
This design:
- Minimizes pressure on tissue in flapless procedures
- Reduces the need for subgingival adjustments
- Provides optimal tissue management during healing
- Guide verification: Seat the surgical guide and ensure proper fit without rocking; adjust if necessary
- Site preparation: Complete extraction if needed and seat the guide
- Osteotomy creation: Follow the guided kit sequence for site preparation
- Implant placement: Place the implant through the guide using the master tube for proper indexing, rotation, and depth
- Torque verification: Ensure the implant is properly torqued and secure
- Abutment placement: Seat the provided temporary abutment
- Template positioning: Place GuidedTEMP (using the same file as the surgical guide but holding the tooth/teeth instead of the sleeve)
- Restoration delivery: The template rests on teeth and slides over the temp cylinders
- Place template passively without abutment contact
- Backfill the void around the temp cylinder with the chosen material
- Trim, contour, polish, and seat the final restoration
- Position template over temp cylinders, ensuring supports are fully seated on adjacent teeth
- Check that occlusion is correct
- Verify the template is passive with no metal touching cylinder walls
- Remove the template and block out cylinders using the provided plugs and gaskets
- Place blockout plugs in temporary cylinders
- Backfill with composite or light-cured material
- Either complete chairside adjustments or remove the entire appliance for lab completion
- For lab completion: unscrew all sites, take to the lab, add material to fill voids, polish, adjust, and return
- Perform equilibration until properly adjusted
The master tube accommodates both the implant driver and abutment, allowing you to seat the implant with correct indexing, rotation, and depth according to the treatment plan. This ensures the planned position matches the delivered result.
The blocking out procedure prevents flowable material from getting underneath and locking components in place:
- Install gaskets: Sleeve blockout gaskets over temporary cylinders
- Insert plugs: Place blockout plugs inside the holes of temporary cylinders
- Verify seal: Ensure complete blockout before backfilling
- Backfill safely: Apply flowable material without risk of locking mechanisms
This procedure is essential for allowing proper removal and adjustment of the restoration.
- Ensure no tissue covers the implant interface
- Verify the template seats passively without contact on abutments
- Confirm there is no pressure on the implant in any direction
- Address any tissue interference that may need management
Yes, the procedure can be performed both ways. If flap elevation is desired, inform the lab during the online consultation meeting so a window can be placed in the guide to accommodate labial or lingual tissue flapping.
During the online consultation meeting, specify:
- Whether flap elevation will be performed (for guide window placement)
- The implant system being used
- Any specific clinical considerations or preferences
- Desired temporary abutment specifications
Always verify guide fit before beginning the procedure:
- Seat the guide completely
- Check for any rocking or instability
- Make necessary adjustments before proceeding
- Ensure the guide remains stable throughout the procedure
For immediate extraction procedures:
- Complete extraction fully before guide placement
- Ensure adequate site healing if applicable
- Verify guide seating after extraction
- Follow standard guided surgery protocols for site preparation
For multiple implant cases, several adjustment options are available:
- Minor adjustments: Can be made chairside during initial placement
- Internal adjustments: May be needed to ensure passive fit with no metal touching cylinder walls
- Lab refinement: Remove the entire appliance, complete the lab work, and return for final placement
- Equilibration: Perform occlusal adjustments until proper contact is achieved
- Void filling: The Lab can add material to fill any voids underneath for optimal fit
Even with guided placement, minor contact adjustments may be necessary. The GuidedTEMP system minimizes but does not eliminate the need for chairside modifications. Adjustments should be conservative to maintain restoration integrity.
Backfilling requires minimal material as shown in clinical examples. The void around the temp cylinder is relatively small, requiring only enough material to fill the space both lingually and occlusally.
If using Stellar DC acrylic, it appears too bright:
- Consider a flowable composite for better shade matching
- Remember, this is a temporary restoration
- Evaluate the patient's existing dentition for shade compatibility
- Plan for final restoration, shade correction if needed
After backfilling:
- Trim excess material carefully
- Contour to the proper anatomical form
- Polish to a smooth finish
- Check occlusion and adjust as needed
- Verify patient comfort before dismissal
Surgical Guide Offerings - Product Comparison
| Price | Days in Lab | Guided Kits | No. of Sites | Application | |
|---|---|---|---|---|---|
| Tooth Supported | $$ | 3 days planning 4 days production |
All | 1-6 | Printed surgical resin, with Ti sleeves or sleeveless |
| Tissue Supported | $$ | 4 days planning 4 days production |
All | Any Number | Edentulous cases where guide is based on a dual-scan |
| Bone Supported | $$$ | 4 days planning 5 days production |
All | Any Number | Best for edentulous cases where dual-scan is not an option. Optional open channel for bone leveling |
| CombiGuide | $$$ | 5 days planning 5 days production |
All | Any Number | Full arch all-metal guide, but limited to bone reduction and implant placement |
| CHROME GuidedSMILE | $$$$ | 5 days planning 10 days production |
All | Any Number | Fully-guided All-on-X surgery & restoration. |
External Resources
-
GuidedTEMP™
- Advantages and limitations of implant surgery with CAD/CAM surgical guides: A literature review
- Accuracy of three different types of stereolithographic surgical guide in implant placement: an in vitro study
- Association Between Site-Specific Factors and the Accuracy of Guided Implant Surgery Using Tooth-Supported Surgical Guide
- Dimensional Stability of 3D Printed Tooth-Supported Implant Surgical Guides After Autoclave Sterilization
- Evaluating the accuracy of tooth-supported vs mucosa-supported 3d-printed surgical guide in dental implant placement
How can we help you today?
Can't find what you're looking for? No problem. Let us help.
ROE’s experts are dedicated to elevating your dental practice.
- Full-service national dental laboratory
- Comprehensive Certified Dental Laboratory (CDL) services
- Case planning support from 20+ Certified Dental Technicians
- Specialists in both fixed, removable, implant and full-arch dentistry
- Tailored support for all cases, from routine to complex
- National Association of Dental Laboratories (NADL) member
- Only FDA-approved materials used
- All products made in the USA
- Thousands of free online education materials
